Боли в боках и пояснице – распространенное явление, которое может иметь десятки причин, начиная заболеваниями опорно-двигательного аппарата, заканчивая нарушениями работы органов брюшной полости и мочевыводящей системы.
Чтобы точно диагностировать патологию, вызывающую неприятные ощущения сзади в районе лопаток, необходимо в первую очередь определить характер и особенности неприятных ощущений.
Что означает боль, которая ощущается одновременно с двух сторон в пояснице и боках, или может ли подобное состояние повлечь за собой серьезную опасность для здоровья?
Причины патологии
Боль, которая ощущается одновременно сбоку на уровне поясницы и в нескольких местах, в медицине называется иррадиирующей или отраженной – механизм ее развития заключается в раздражении нескольких ветвей нерва, иннервирующего внутренние структуры и ткани.
По этой причине боль внизу, отдающая в другие места, в некоторых случаях указывает на симптомы настолько размытые и нечеткие, что даже сам больной не способен точно определить их источник.
В проекции поясницы и боков находятся разные органы – это нижний отдел поясничного столба, почки, органы брюшной полости, репродуктивные органы у женщин, поэтому для постановки точного диагноза при болевом синдроме в боках и пояснице следует обратиться к врачу.
Неприятные ощущения в пояснице и боках могут появляться у здоровых людей вследствие переохлаждения или чрезмерных физических нагрузок, но в этом случае они носят временный характер и исчезают после отдыха или применения согревающих мазей.
Виды
Характер болевого синдрома играет немаловажную роль в определении его причины – каждая из патологий имеет особенности клинического течения, которые следует учитывать при постановке диагноза.
- Острая боль характерна для состояний, которые требуют скорейшего обращения к врачу, а иногда немедленной медицинской помощи. Она свидетельствует о серьезных патологических процессах во внутренних органах или структурах позвоночника – к их числу можно отнести печеночные и почечные колики, болезни ЖКТ, почек и репродуктивной системы в стадии обострения, грыжи позвоночника, межреберная невралгия.
- Дискомфорт ноющего характера появляется при хронических патологиях, чаще всего при заболеваниях позвоночника – остеохондрозе, протрузиях, сколиозе и т.д., особенно, если он возникает после длительного пребывания в одном положении или физических нагрузок.
- Тянущий болевой синдром является распространенным симптомом заболеваний репродуктивной и мочеполовой системы у женщин, а также нарушений работы печени. Кроме того, она часто наблюдается у беременных во втором-третьем триместре из-за давления растущего плода.
- Тупые боли могут свидетельствовать о воспалительных или инфекционных процессах в желчном пузыре и почках, иногда о заболеваниях поясничного и крестцового отдела позвоночника.
- Резкие, простреливающие болевые приступы наблюдаются при радикулите, протрузиях и грыжах межпозвоночных дисков, а также почечных и печеночных коликах, спазмах в кишечнике и других органах.
- Дискомфорт, который ощущается постоянно, часто свидетельствует о воспалительных и инфекционных патологиях мочевого пузыря, почек и репродуктивной системы, также может ощущаться при беременности.
- Опоясывающий болевой синдром, как правило, выступает симптомом панкреатита и других болезней пищеварительного тракта, мочевыводящей системы, гинекологических заболеваниях: интенсивная боль в подобных случаях говорит об остром течении болезни, слабая, тянущая или ноющая – о хронической форме.
Важно! В редких случаях боли в боках и области поясницы могут появляться при тяжелых респираторных заболеваниях (бронхит, пневмония, плеврит), а также злокачественных опухолях спинного мозга и других органов, которые дают метастазы в костные ткани, печень и почки.
Характер боли представляет собой субъективное понятие, поэтому определить причину болезни исключительно по данному показателю невозможно – необходимо учитывать дополнительные симптомы и другие факторы.
Почему отдает в правую и левую стороны
Заболевания позвоночника
Дегенеративные процессы, травмы и другие патологии позвонков, межпозвоночных дисков или близлежащих структур (нервы, мышцы) – распространенные причины неприятных ощущений в боках.
Чаще всего в данном случае страдает поясничный или крестцовый отдел позвоночного столба, реже боль может иррадиировать ниже из-за повреждений грудного отдела.
Смещение позвоночных дисков
Спондилолистез представляет собой смещение тела позвонка относительно другого с отклонением оси позвоночника. В народе эта состояние часто называют «смещением межпозвоночных дисков», но подобная формулировка ошибочна, так как смещаться могут исключительно позвонки.
Патология развивается по разным причинам (травмы, возрастные изменения, неправильные нагрузки и т.д.) и приводит к раздражению нервных волокон или полному их ущемлению, что вызывает отек, воспаление и ноющую или острую боль в спине.
Остеохондроз
Дегенеративные изменения в позвоночнике, или остеохондроз, чаще всего наблюдаются у людей старшего возраста.
Вследствие воздействия негативных факторов процессы питания хрящевых тканей позвоночника нарушаются, из-за чего они теряют эластичность и способность к регенерации.
Основные симптомы остеохондроза – ограничение подвижности позвоночника и жгучие, ноющие или пульсирующие боли в спине, в том числе, в пояснице и боках.
При проявлении симптомов обязательно нанесите визит к доктору.
Переломы позвонков
Перелом позвонков – серьезная травма опорно-двигательного аппарата, которая требует продолжительного и комплексного лечения. Нарушения целостности костной ткани происходит из-за внешнего воздействия (сильный удар, падение с высоты и т.д.) и проявляется в первую очередь болевым синдромом.
Его особенности зависят от степени и локализации повреждения, но чаще всего болевой синдром интенсивный, опоясывающего характера, сопровождается неврологическими нарушениями – нарушениями чувствительности в конечностях, головные боли и т.д.
Внимание: отличить боли в боках, возникающие ближе к пояснице вследствие заболеваний позвоночника, можно по двум критериям: чаще всего они связаны с движениями или изменениями положения тела, и сопровождаются неврологическими симптомами – нарушения чувствительности, онемение, «мурашки» в конечностях и т.д.
Сколиоз
Сколиоз представляет собой искривление позвоночного столба, которое вызывает асимметрию фигуры и нарушения работы внутренних органов.
На первых стадиях заболевание проявляется дискомфортом и болевым синдромом в разных отделах спины (при поражениях поясничного отдела они локализуются в боках и пояснице), повышенной утомляемостью и нарушениями подвижности позвоночника, при запущенном патологическом процессе возможны проблемы с мочеиспусканием и дефекацией.
Анкилозирующий спондилоартроз
Анкилозирующий спондилоартроз (болезнь Бехтерева) представляет собой достаточно редкую патологию опорно-двигательного аппарата, которая поражает межпозвоночные, плечевые и тазобедренные суставы.
В число его симптомов входят боли в спине и боках, которые усиливаются при напряжении мышц и смене погоды, искривления позвоночника, парезы и параличи. Заболевание неизлечимо, прогрессирует медленно, но неуклонно, и обычно приводит к инвалидности.
Копчиковая грыжа
Копчиковая грыжа наблюдается реже, чем грыжи в других отделах позвоночника, так как позвонки крестцового отдела более крепкие и прочные.
Она развивается вследствие совокупности факторов, в число которых входят дегенеративные заболевания опорно-двигательного аппарата, инфекции и воспаления внутренних органов, травмы.
При копчиковой грыже больной ощущает сильные боли в области копчика и поясницы, которые отдаются в бока и промежность, усиливаются в сидячем положении и не снимаются обезболивающими препаратами.
От копчиковой грыжи чаще всего страдают женщины, так как наиболее распространенным провоцирующим фактором болезни выступают тяжелые роды.
Заболевания внутренних органов
Боевые ощущения в пояснице и боках при патологиях внутренних органов называют вторичными. В отличие от симптомов заболеваний опорно-двигательного аппарата, они не связаны с движениями или сменой положения тела, и сопровождаются нарушениями работы других систем организма.
Мочеиспускательная система
Болезни мочеиспускательной системы, которые могут вызвать боли в боках, включают воспалительные и инфекционные процессы в мочевом пузыре, образование камней, закупорку мочеточников.
В зависимости от клинического течения патологии, неприятные ощущения могут быть ноющими, давящими или острыми, иметь разную интенсивность, и чаще всего сопровождается нарушениями мочеиспускания, повышением температуры, общей слабостью.
Болезни почек
Особенности болей в боках при патологиях почек заключаются в том, что они локализуются немного выше поясницы, часто имеют опоясывающий характер и отдают в низ живота, область пупка, пах. Некоторые заболевания почек (поликистоз, злокачественные опухоли, пиелонефрит) развиваются медленно, поэтому сопровождаются несильным дискомфортом, а при почечной колике и закупорке мочеточника боль настолько интенсивная, что иногда вызывает болевой шок.
Для справки: неприятные ощущения при заболеваниях почек часто возникают при приеме лекарственных препаратов, особенно антибиотиков – нагрузка на почки при медикаментозной терапии возрастает, они не справляются со своими функциями, вследствие чего развиваются соответствующие симптомы.
Цирроз печени
Цирроз печени – тяжелое заболевание, которое характеризуется гибелью тканей органа и заменой их фиброзными волокнами, и часто приводит к летальному исходу. На патологический процесс может указывать боль в области поясницы, которая может носить опоясывающий характер, но чаще всего локализуется в правом боку, горечь во рту (проявляется в утренние часы), периодические расстройства дефекации и потеря веса.
Патологии кишечника
Нарушения работы кишечника, желчного пузыря, поджелудочной железы и других органов пищеварения проявляются дискомфортом ноющего и тупого характера в брюшной полости, пояснице и боках, но при обострении заболеваний возможны острые и резкие боли.
Как правило, они четко связаны с приемом пищи (возникают на голодный желудок, после еды или употребления определенных продуктов) и сопровождаются вздутием живота, отрыжкой, метеоризмом, повышенным газообразованием.
Особенности у женщин
У женщин боли в боках наблюдаются чаще, чем у мужчин, вследствие анатомических особенностей женского организма. В брюшной полости представительниц слабого пола расположены репродуктивные органы, которые часто провоцируют неприятные ощущения в области таза, а мочеполовые инфекции и воспаления у них развиваются чаще, чем у мужчин.
При женских болезнях
Ноющая и тянущая боль в боках – не редкость для женщин при изменении гормонального фона, новообразованиях репродуктивных органов, врожденных нарушениях (например, отклонении или загибе матки).
Другие причины постоянных болевых ощущений – половые инфекции, миома, аднексит, эндометриоз и другие воспалительные процессы.
Дополнительные симптомы вышеперечисленных заболеваний – нарушения менструального цикла, бесплодие, ухудшение общего самочувствия.
У многих женщин боль в боках является физиологической нормой во время менструации – в данном случае она имеет ноющий характер, легко снимается приемом спазмолитиков и не сопровождается дополнительными симптомами.
При беременности
Во время беременности дискомфорт в боках и пояснице обычно возникает после первого триместра, когда растущий плод начинает давить на позвоночник и внутренние органы.
На первых неделях вынашивания ребенка такой симптом может быть признаком гормональных изменений в организме, ослабления связок и мышц, а также начинающегося выкидыша – в этом случае боли носят интенсивный характер, сопровождаются кровотечением или кровянистыми выделениями из влагалища, слабостью и ухудшением общего состояния.
После родов
Болевые ощущения внизу живота, боках и пояснице ощущают все женщины без исключения – они являются частью восстановительных процессов репродуктивной системы. Сразу после родоразрешения они могут быть достаточно сильными, но через несколько дней постепенно стихают, а на протяжении двух-четырех недель исчезают полностью.
Важно! Если боль усиливается, а к ней присоединяются неестественные выделения из влагалища и повышение температуры, женщине нужно обратиться к врачу – такие проявления свидетельствуют об инфекциях, воспалении и других послеродовых осложнениях.
Особенности у мужчин
У представителей мужского пола причинами тянущих и ноющих болей, отдающих в бока, низ живота, пах и ноги, как правило, становятся гиперплазия предстательной железы, простатит, реже цистит и другие болезни мочевого пузыря. Среди других проявлений можно отметить затрудненное выделение мочи, половую дисфункцию и импотенцию, при заболеваниях, передающихся половым путем, отмечаются гнойные выделения из уретры.
При половых инфекциях у мужчин лечение следует пройти обоим партнерам даже в тех случаях, когда симптомы заболевания у женщины отсутствуют.
Способы лечения
Заниматься самолечением при частых болях в боках категорически не рекомендуется, особенно если они сопровождаются дополнительными проявлениями – любые мероприятия могут смазать картину заболевания, затруднив постановку диагноза, или ухудшить состояние больного.
Медикаментозные препараты
Для купирования болевого синдрома в области боков и поясницы используются следующие лекарственные средства:
- анальгетики (Кетанов, Кеторол, Анальгин);
- спазмолитики (Но-шпа, Папаверин, Дротаверин, Баралгин);
- нестероидные противовоспалительные препараты (Нурофен, Ибупрофен, Индометацин);
- наркотические обезболивающие средства (Трамадол).
Чаще всего применяются препараты в форме таблеток или инъекций, при болях, связанных с патологиями позвоночника, можно втирать в пораженные места согревающие или охлаждающие мази.
Интенсивные, мучительные боли можно снять с помощью новокаиновых блокад или инъекций наркотических средств, но подобные процедуры проводятся только по назначению врача в условиях медицинского учреждения.
ЛФК
Лечебная физкультура – один из способов устранить дискомфорт при патологиях опорно-двигательного аппарата и менструальные боли. Упражнения следует выполнять осторожно, не нагружая мышцы слишком сильно, избегая резких движений и усиления болевого синдрома.
Во время беременности и при гинекологических болезнях хороший эффект дают дыхательные упражнения и йога, но перед занятиями необходимо проконсультироваться с врачом и учесть имеющиеся противопоказания. Кроме того, можно сделать легкий массаж – растирающие и поглаживающие движения, или просто прогуляться на свежем воздухе.

Физиотерапия
Физиотерапевтические методы применяются только после того, как острый период, сопровождающийся интенсивным воспалительным и инфекционным процессом, повышением температуры и другими симптомам, остается позади.
В качестве лечебных процедур больным рекомендуется электрофорез с разными лекарственными препаратами (обезболивающие, улучшающие питание и регенерацию тканей), УВЧ, магнитотерапия, электростимуляция, грязевые, парафиновые и озокеритовые аппликации. Конкретный метод воздействия и длительность курса определяет врач в зависимости от особенностей клинического течения заболевания и общего состояния больного.
Боли в пояснице и боках могут иметь разную интенсивность и характер, но в большинстве случаев являются тревожным симптомом, который требует своевременной диагностики и лечения.
Полезный совет
Важно! При сильном болевом синдроме, сопровождающимся повышением температуры, слабостью, рвотой или кровотечениями нужно немедленно вызывать скорую помощь – подобное состояние может нести непосредственную угрозу для жизни человека.
Источник
Боль в боках сзади в районе поясницы часто появляется после сна и перенесенных физических нагрузок. Причины могут быть физиологическими и патологическими. Последние считаются опасными для здоровья и требуют немедленной диагностики.
Характер и проявление боли
Боли в пояснице могут быть физиологическими, например, после тренировок или сна в неудобной позе
Болевой синдром может захватывать только бока или сковывать весь поясничный отдел. Также болеть может с одной левой стороны и иррадиировать на противоположную. При этом характер болевых ощущений становится невыносимым: острым, ноющим, стреляющим, кинжальным, коликообразным.
Если признаки усиливаются, не нужно терпеть и ждать, пока они самостоятельно пройдут. Важно немедленно обратиться к врачу. При ограничении подвижности нужно вызвать скорую помощь.
Патологическая боль в области спины чаще всего появляется ближе к наступлению ночи. Иногда может возникать при изменении погоды. В таких случаях можно заподозрить хроническое течение заболевания.
Возможные причины
При остеохондрозе боль может появиться при ущемлении нерва с одной стороны
Факторы, которые провоцируют боль, часто долго не дают о себе знать. Обычно серьезные отклонения со здоровьем во главе с болевым синдромом появляются на поздних стадиях. Причин, вызывающих появление боли в спине, может быть несколько.
Дегенеративные изменения позвоночного столба
Чаще это прогрессирование патологий наследственного характера или врожденных аномалий. К ним относят болезнь Бехтерева, несформированность позвоночника в утробе матери, появление горба и сутулости.
Развитие протрузий и грыж также могут спровоцировать двухстороннюю боль. Это связано со сдавливанием нервных корешков. Такие симптомы рано или поздно приведут к инвалидности, если не взяться за их лечение.
Заболевания почек
Наиболее вероятная причина — заболевание или переохлаждение почек
Проблемы с функционированием почек часто сопровождаются болью в спине. Кроме этого пациенты могут наблюдать сопутствующие симптомы в виде повышения температуры тела, изменении цвета мочи, появления в ней кровянистых вкраплений. Одним из заболеваний, которое проявляется лево- и правосторонними болями одновременно, является гломерулонефрит или пиелонефрит.
Почки являются чувствительным парным органом. Они могут реагировать болью при изменениях поясничного отдела позвоночного столба. В таких случаях может появиться значительный упадок сил и усталость, которые не проходят после сна.
Проблемы с органами ЖКТ
При геморрое застойные явления могут затрагивать поясничный отдел
Пищеварительная система находится в передней части туловища, но при возникновении боли она способна отдавать в нижнюю часть спины. Такое происходит при хронических патологиях:
- нелеченный гастрит;
- язвенная болезнь желудка и двенадцатиперстной кишки в стадии обострения;
- вздутие живота (длительное повышенное газообразование);
- дисперсия;
- диарея;
- запор и геморрой.
Застой переваренных продуктов питания в кишечнике негативно влияет на состояние организма. Возможна интоксикация, из-за которой появляется болевой синдром.
При врожденных нарушениях перистальтики кишечника боли появляются периодически. Обычно это сезон обострений или следствие неправильного питания.
Патологии дыхательной системы
Воспалительный процесс в верхних органах дыхания – трахее, бронхах или гортани – часто сопровождаются осложнениями. К таким заболеваниям относят ларинготрахеит, пневмонию любой стадии, туберкулез, острый или обструктивный бронхит. При длительном течении таких патологий развиваются осложнения, которые серьезно влияют на деятельность выделительной системы, тем самым являясь провокаторами болей.
Кашель и заложенность носа, а также закупорка верхних дыхательных путей способна вызвать кислородное голодание многих органов. В первую очередь это влияет на нижнюю часть туловища. Явным признаком таких осложнений является болевой синдром в области спины.
Женские боли
Воспаления придатков или яичников могут провоцировать боли в пояснице сбоку
Тянущие или ноющие боли с обоих боков спины у женщин говорят о различных проблемах с женским здоровьем. Также это могут быть физиологические причины, например, при наступлении месячных, овуляции или предменструальном синдроме.
Поздние сроки беременности также не обходятся без болей в области поясницы. Они возникают из-за создавшейся дополнительной нагрузки на позвоночник, связанной сростом матки и плода в ней.
Женские патологические боли вызваны:
- воспалением придатков;
- поликистозом;
- эндометриозом;
- аднекситом;
- выкидышем или замершей беременностью.
Наряду с болевыми ощущениями возможны сопутствующие признаки в виде рвоты, тошноты, гипертермии.
Травмы
Любой удар может стать роковым для позвоночника и близлежащих органов. После получения травмы в область поясницы постепенно начинают появляться боли слева и справа от позвоночника. Это может характеризоваться как повреждение почек и самого позвоночного столба либо серьезного ушиба мягких тканей.
Вместе с болью после травмы часто появляются отеки и гематомы вокруг пораженной области. Как только замечаются кровяные сгустки в уретре или повышается температура тела, нужно немедленно вызвать врача.
Вирусные инфекции
У взрослых и детей могут появляться периодические боли в спине. Причиной становится воздействие вирусов на организм. Особенно опасными считаются ГРИПП, токсоплазмоз, ветряная оспа. Если их своевременно не лечить, микроорганизмы начинают затрагивать нижние органы, способны негативно повлиять даже на работу сердца.
Сердечно-сосудистые патологии
Боль могут вызвать неправильные или неравномерные физические нагрузки
Боли, вызванные проблемами с этой системой, часто отдают в левый или правый бок. Могут вызвать одновременный дискомфорт с обеих сторон. Если заболевания серьезные, они характеризуются кинжальной, острой или давящей болью в области сердца. Вероятнее всего, это предвестники ишемии или инфаркта.
Переохлаждение и неравномерные физические нагрузки
Длительное нахождение на сквозняке, сон на твердой неровной поверхности, а также неправильное поднятие тяжестей способны вызвать сильную боль в области поясницы с обеих сторон. Дополнительный признак — невозможность сделать поворот влево или вправо. Он обязательно сопровождается острой болью.
Невралгические нарушения являются одним из частых факторов, провоцирующих появление боли в спине. После стресса может появиться некоторый дискомфорт или ломота в теле.
Методы диагностики
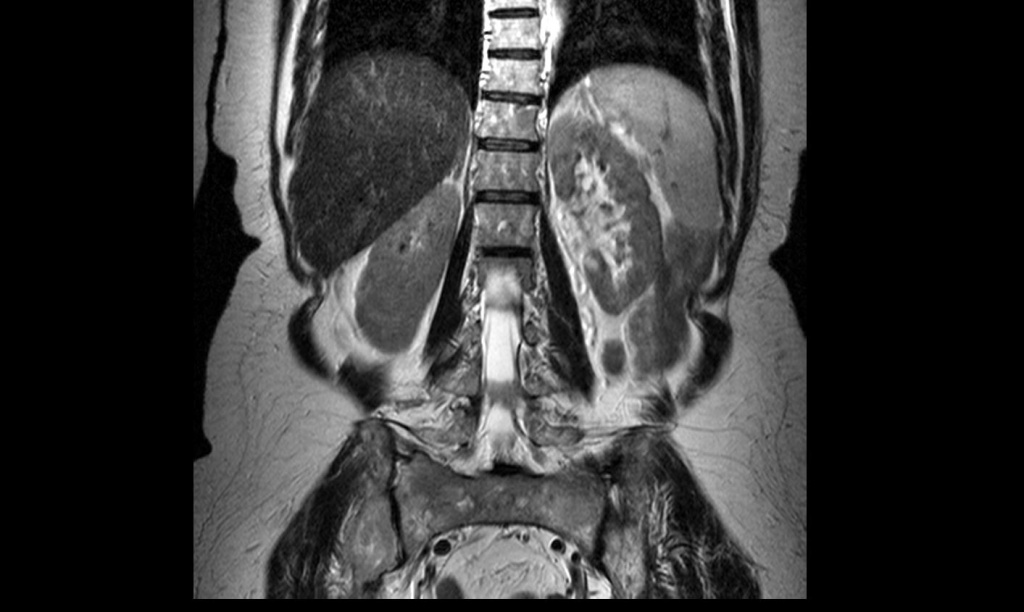
На снимке МРТ хорошо видно мышцы и костную ткань
Жалобы на боли в спине обязательно требуют диагностики. Ее проводят в несколько этапов.
- ЭКГ(электрокардиограмма). Ее назначают, чтобы в первую очередь исключить опасные проблемы с сердцем.
- Рентген и флюорография. Позволяют узнать состояние грудной клетки, определить наличие новообразований и туберкулеза.
- МРТ и компьютерная томография. Позволяют узнать о состоянии мягких тканей спины в области локализации боли.
- Обширные анализы крови, мочи, кала и мокроты. Обследование биоматериала помогает найти воспалительные процессы, определить состояние крови в сосудах. В кале могут обнаружить глистную инвазию или некоторые проблемы с кишечником, например, если в субстанции есть черные вкрапления (сгустки крови).
- Копрограмма — один из методов, служащих для полного обследования пищеварительной системы. Актуально при подозрениях на ее дисфункцию.
При обнаружении фокусной тени на ребрах или легком пациенту должны назначить повторное обследование, чтобы исключить ошибку.
При получении всех необходимых анализов врач составляет анамнез и назначает необходимое лечение. Нередко оно сопровождается приемом антибиотиков и анальгетиков. Еще чаще спасаются местными средствами: мазями, бальзамами, кремами.
Если болят бока со спины с обеих сторон у мужчин и женщин, при этом симптомы имеют длительный характер, скорее всего, это сигнализирует об опасных патологиях. Если дискомфорт уходит после отдыха, он чаще всего вызван хронической усталостью. В любом случае все тревожные симптомы должны быть диагностированы, ведь они могут быть не связаны с проблемами опорно-двигательного аппарата.
Источник






